Cerebral contusions are a form of traumatic brain injuries (TBIs). These contusions are bruising of the brain tissue caused by multiple microhemorrhage of the small blood vessels leaking on the brain.
Cerebral Contusions occur as a result of direct blunt force trauma (motor vehicle accident, falling and hitting your head, being punched, kicked, or struck by solid objects). Patients who experience this type of injury may have a decline in mental function, headaches, confusion, sleepiness, dizziness, loss of consciousness, nausea, vomiting, seizures, difficulty with coordinating their movements, ringing in the ear, short-term memory loss, difficulty seeing, speaking, hearing, and managing emotions. These symptoms depend on the severity and location of the brain injury (ies).
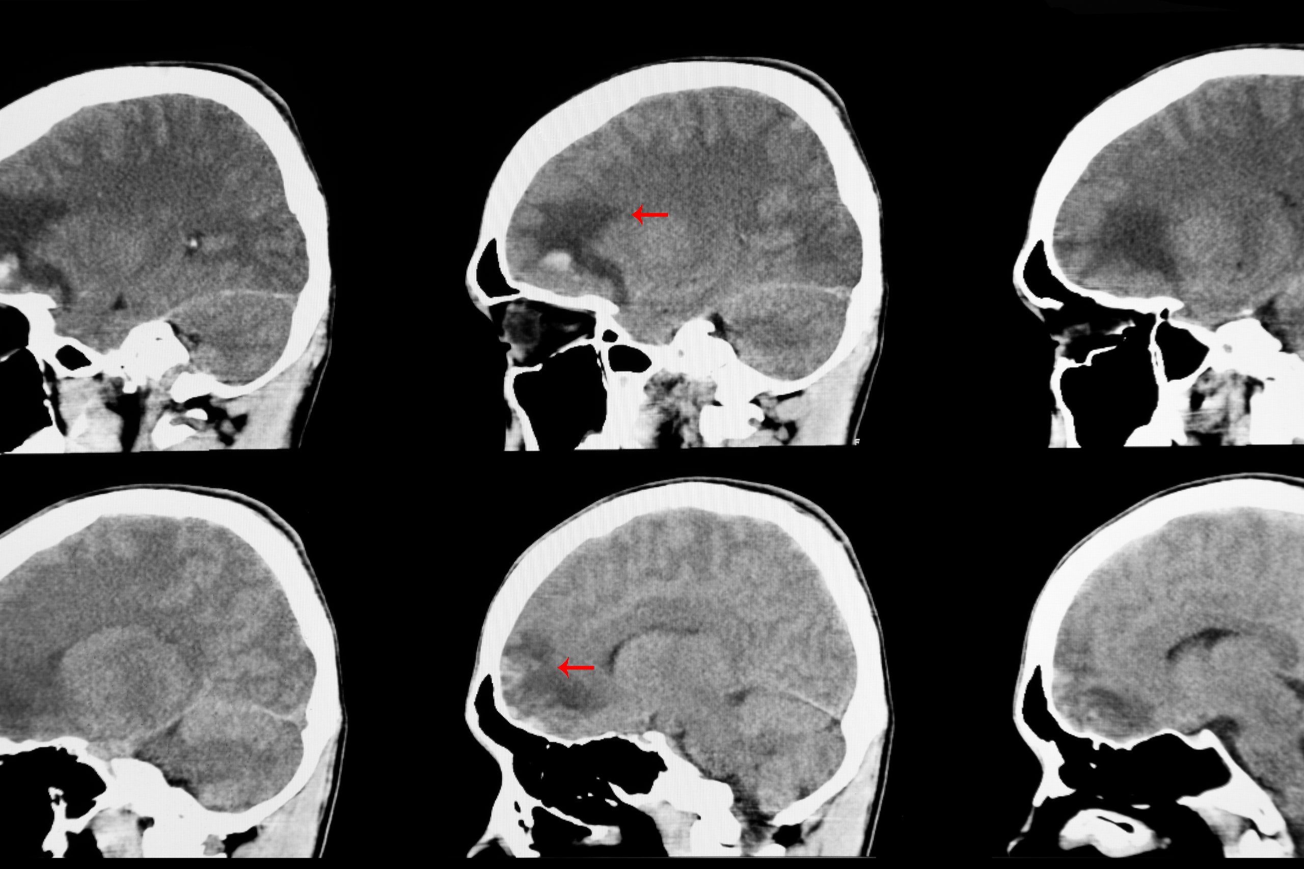
Brain tissue swelling can be dangerous. Increased intracranial pressure requires emergency surgery (craniotomy) to help alleviate the pressure in the brain. A CT of the brain is the preferred imaging used to detect and assess intracranial hematomas (bleeding) and contusions. If the finding of the CT is good, with no significant signs of injury, then no surgical management is pursued. However, close observation, repeat imaging every six hours until images are stable, anti seizure medication administration, constant blood pressure monitoring, and neurological exams every 2 hours are necessary. Patients must be monitored closely to prevent hypotension (low blood pressure), hypertension (high blood pressure), hyponatremia (low sodium), and hypercapnia (increased CO2 levels in the blood caused by abnormal respirations). A change in mentation is a cause for repeated imaging. No one patient recovers from a cerebral contusion in the same way. Recovery depends on the initial Glasgow Coma Scale (GCS), the size and location of the contusion, the age of the patient, CT Brain results, and surgical versus non-surgical treatment.

The Glasgow Coma Scale (GCS) scores patients’ neurological function based on their clinical symptoms. The GCS measures three functions: eye movement, verbal response, and motor response.The initial GCS and the severity of the TBI helps predict the probability of death from the injury. Mortality (death) rates increase the more the GCS score decreases. According to the GCS, a total score between the range 13-15 is mild TBI; one between the range 9-12 is moderate, and one 8 and below is severe. Mild TBIs may cause concussions and patients may have dementia later in life as a result. Mild to moderate symptoms usually reverse within a few days to weeks after the injury. Sometimes injuries can produce long-term cognitive and behavioral deficits. Consequently, patients who have repeated mild TBIs can have Chronic Traumatic Encephalopathy (CTE). Severe TBIs may have significant risk factors that can be the source of Alzheimer’s disease, Parkinson’s disease, and possibly Amyotrophic Lateral Sclerosis (ALS).
If you suspect yourself or someone else of having a brain contusion , please seek medical attention as soon as possible.
References
Eli, I., Couldwell, M., & Rabb, C.H. (2019). Traumatic Intracerebral Contusions. In C. J. Madden & J. Jallo(Eds.) Neurotauma. Oxford University Press. https://books.google.com/books?hl=en&lr=&id=0MHADwAAQBAJ&oi=fnd&pg=PA53&ots=EL6ZWtMtEo&sig=a40QHBSMJB3IFp_J5-5pQvjxlMU#v=onepage&q&f=false
Tomatheart. (2019). CT brain scan image of a recent traumatic brain injury patient showing braincontusion and hemorrhage at frontal load with subarachnoid bleeding at the base of skull. [CT brainimage]. https://www.shutterstock.com/image-photo/ct-brian-scan-image-recent-traumatic-1409233616
